Kenali ‘teman tidur’ anda

30 Nov 2021 Artikel

 

Apa Itu pepijat?

Pepijat adalah antara serangga yang telah menjadi sebahagian daripada kehidupan manusia. Infestasinya biasa berlaku di rumah kediaman, hotel, asrama, sekolah dan tempat perlindungan. Ia juga boleh ditemui di pusat jagaan, hospital, perpustakaan mahupun di dalam pengangkutan awam. Dengan kata lain, di mana ada manusia, di situ jugalah pepijat boleh ditemui.

Secara biologinya, pepijat merupakan serangga kecil penghisap darah yang berasal daripada genus Cimex. Terdapat dua spesies pepijat utama yang biasa menginfestasi manusia iaitu Cimex hemipterus dan Cimex lectularius. Walau bagaimanapun, hanya Cimex hemipterus yang biasanya ditemui di Malaysia yang beriklim tropika, manakala Cimex lectularius pula cenderung mendiami negara beriklim sederhana. 

Pepijat dewasa berukuran 4-7 mm panjang dan berwarna coklat kemerahan seolah-olah warna biji epal. Ia berbentuk bujur dan leper yang memudahkan mereka bersembunyi di dalam rekahan dan celah pada perabot, tilam dan dinding. Ia tidak mempunyai sayap dan tidak melompat, tetapi bergerak secara merangkak perlahan pada lantai, dinding, siling dan permukaan lain. 

 

Apakah kesan gigitan pepijat?

Pepijat bersifat nokturnal iaitu aktif menggigit dan menghisap darah manusia ketika tidur pada waktu malam. Kedua-dua pepijat jantan dan betina adalah penghisap darah tegar. Mereka menghisap darah dengan menusuk permukaan kulit menggunakan struktur seperti paruh yang memanjang. Bendalir liur pepijat mempunyai kesan pelali yang menyebabkan gigitannya tidak menyakitkan dan kesan gigitan hanya disedari beberapa jam selepas gigitan. Kebiasaannya, pepijat memerlukan masa antara 3 hingga 12 minit setiap kali menghisap darah. Kawasan yang biasa menjadi sasaran pepijat adalah permukaan kulit yang tidak dilitupi pakaian seperti pada bahagian muka, leher, tangan, belakang badan, kaki dan betis. 

Kerap kali gigitan pepijat dianggap sebagai gigitan serangga lain seperti nyamuk ataupun pinjal. Ini mengakibatkan infestasi pepijat pada sesuatu kawasan hanya disedari apabila infestasi berada pada tahap yang serius. Secara spesifiknya, gigitan pepijat akan menyebabkan kemunculan lesi kemerahan berukuran lebih kurang 5 hingga 20 mm berserta gelembung air di bahagian tengah. Tidak seperti nyamuk yang gigitannya tiada corak tertentu, kesan gigitan pepijat pula kebiasaannya hadir secara berturutan dalam garis lurus ataupun melengkung.

Setakat hari ini, belum dapat dibuktikan bahawa pepijat boleh menularkan sebarang penyakit kepada manusia. Walau bagaimanapun, bagi individu yang sensitif, gigitan pepijat mampu mengakibatkan kegatalan dan alahan yang teruk. Gangguan pepijat secara berterusan akan menjejaskan kualiti hidup dengan mengakibatkan ketidakselesaan dan gangguan tidur yang serius. Ini secara tidak langsung akan memberikan kesan negatif kepada psikologi dan menjejaskan kesihatan emosi individu yang terlibat.

 

Bagaimana mengenalpasti infestasi pepijat?

Pepijat merupakan ‘pengembara’ yang cekap dan ini dilakukan dengan ‘menumpang’ pada bagasi, pakaian atau perabot yang dipindahkan daripada satu tempat ke tempat lain. Bagi sesuatu bangunan yang telah diinfestasi pepijat, pepijat mampu bergerak dari satu bilik ke bilik lain, malahan dari satu tingkat ke tingkat lain menerusi rekahan dan celahan yang terdapat pada lantai, dinding dan siling.

Pepijat tidak mempunyai sarang seperti semut ataupun lebah tetapi cenderung untuk berkumpul di tempat persembunyian seperti pada tilam, kotak simpanan, rangka katil, perabot dan celahan dinding. Tempat yang paling disukai adalah tempat di mana manusia berehat dan tidur seperti pada katil dan sofa. Kebiasaannya, kawasan yang diinfestasi pepijat akan ditandai dengan kesan kehitaman yang merupakan hasil kumuh pepijat yang telah mengering. Kehadiran telur dan kelongsong nimfa juga boleh dikesan menandakan berlakunya infestasi aktif di sesuatu kawasan. Selain itu, kehadiran kesan darah kering pada cadar atau tilam pada pagi hari juga boleh menjadi petunjuk berlakunya gigitan pepijat pada malam hari. Bau yang kurang menyenangkan juga boleh muncul bagi ruang atau premis yang mengalami infestasi yang teruk.

 

Bagaimana menghindari dan membasmi infestasi pepijat?

Menghindari dan membasmi pepijat adalah sesuatu yang sangat mencabar memandangkan pepijat mampu berhabitat pada banyak kawasan di dalam rumah. Langkah-langkah berikut boleh diambil bagi menghindari dan membasmi pepijat:

  1. Memastikan barang-barang dan perabot yang dibawa masuk ke rumah (terutamanya perabot terpakai) bebas daripada infestasi pepijat.
  2. Memeriksa secara teliti tempat persembunyian pepijat termasuk mengasingkan cadar dan tilam daripada kerangka katil.
  3. Lakukan pembersihan menggunakan vakum secara berterusan dan masukkan isi kandungan beg vakum ke dalam beg plastik yang bertutup sebelum dibuang.
  4. Membasmi tempat persembunyian pepijat dengan menampal dan membaiki rekahan pada dinding, perabot dan sebagainya.
  5. Pakaian dan cadar yang diinfestasi pepijat perlu dibasuh dengan air panas sekurang-kurangnya pada suhu 60oC bagi membunuh pepijat.
  6. Racun serangga yang bersesuaian perlu digunakan untuk merawat kawasan yang diinfestasi pepijat. Rawatan ulangan dan khidmat syarikat kawalan serangga perosak adalah perlu terutamanya bagi kediaman yang mengalami infestasi yang teruk.

Rupa bentuk pepijat jantan (kiri) dan pepijat betina (kanan) di bawah pembesaran menggunakan mikroskop
Gambar daripada koleksi Jabatan Parasitologi & Entomologi Perubatan UKM

Model pepijat untuk tujuan pameran dan pengajaran
Gambar daripada koleksi Jabatan Parasitologi & Entomologi Perubatan UKM

Lalat Pembawa Penyakit

30 Nov 2021 Artikel

Tema : Kesihatan
Penulis : Dr. Syamsa Rizal Abdullah
Ketua Jabatan / Pensyarah
Jabatan Parasitologi & Entomologi, Fakulti Perubatan UKM

 

Lalat Pembawa Penyakit

Semua orang mengenali lalat sebagai serangga yang sinonim dengan kekotoran dan sering kali mengganggu keselesaan. Namun begitu, tidak ramai yang sedar akan bahaya yang mampu dibawa oleh serangga kecil ini. Daripada aspek kesihatan, lalat dikenali sebagai vektor atau pembawa penyakit kerana berpotensi membawa kuman seperti virus, bakteria dan parasit. Antara penyakit bawaan lalat yang utama kepada manusia adalah seperti kolera, demam kepialu (tifoid) serta jangkitan cacing seperti cacing gelang, cacing cambuk dan cacing pita. Simptom-simptom awal adalah seperti sakit perut, muntah, cirit-birit dan najis berdarah yang boleh membawa kepada komplikasi lebih serius seperti kekurangan zat, anaemia (kekurangan darah merah) dan tumbesaran terbantut terutamanya di kalangan kanak-kanak. Justeru, adalah amat penting untuk kita sama-sama sedar dan berusaha melindungi diri dan keluarga daripada dijangkiti penyakit berbahaya tersebut. 

 

1. Apakah lalat?

Lalat adalah serangga kecil yang mempunyai sayap dan mampu terbang dengan pantas. Ia sangat sensitif kepada pergerakan, justeru amat sukar ditangkap tanpa menggunakan alatan khas. Lalat mempunyai deria hidu yang tajam. Ia mampu bertelur dalam jumlah yang banyak. Kitar hidupnya pendek iaitu kira-kira 20 hingga 30 hari dengan empat peringkat perkembangan bermula dengan telur, berengga, pupa dan lalat dewasa. Terdapat puluhan ribu spesies lalat di dunia, tetapi hanya sebahagian kecil yang berbahaya kepada manusia. Spesies yang biasa dijumpai di kawasan kediaman manusia adalah lalat rumah atau nama saintifiknya Musca domestica. Ia mempunyai mata berwarna merah dan badan berwarna kelabu. Terdapat empat jalur hitam pada bahagian atas dadanya yang memudahkan pengenalpastian spesies.

 

2. Kenapa lalat bahaya?

Lalat adalah serangga berbahaya kerana ia suka hinggap dan membiak di tempat kotor dan busuk seperti longkang tersumbat, timbunan sampah, najis dan bangkai haiwan. Akibatnya, kuman seperti virus, bakteria atau parasit yang berada pada najis atau tempat kotor tersebut akan menempel pada kaki atau bulu-bulu halus pada badan lalat. Apabila hinggap pada makanan yang terdedah, kuman-kuman ini akan dipindahkan ke makanan tersebut dan menyebabkannya tercemar. Apabila seseorang termakan makanan yang telah tercemar dengan kuman, maka kuman akan masuk ke dalam sistem penghadaman. Kuman yang berkembang dalam badan akan  menyebabkan masalah kesihatan seperti sakit perut, muntah, demam, cirit-birit dan najis berdarah. Masalah kesihatan lain yang boleh berlaku terutama kepada kanak-kanak adalah seperti kekurangan zat, anaemia (kekurangan darah merah) dan tumbesaran terbantut. Antara penyakit bawaan lalat adalah seperti kolera, demam kepialu (tifoid) dan jangkitan cacing seperti cacing cambuk, cacing gelang dan cacing pita.

 

3. Bagaimana menghindari penyakit bawaan lalat?

Prihatin terhadap persekitaran dalam dan luar rumah adalah kunci utama untuk mencegah diri anda dan keluarga daripada dijangkiti penyakit bawaan lalat. Di bawah adalah langkah-langkah mudah yang boleh diikuti:

  1. Tutup makanan dengan menggunakan tudung saji. Bau makanan yang kuat boleh menarik lalat masuk ke dalam rumah.
  2. Buang makanan sekiranya terdapat telur lalat padanya. Kehadiran telur lalat menunjukkan lalat telah hinggap pada makanan.
  3. Jangan biarkan sisa makanan ditinggalkan pada pinggan atau dalam singki.
  4. Pastikan sisa makanan dan sampah di buang dalam tong sampah yang bertutup rapi.
  5. Boleh menggunakan perangkap lalat atau alat pembunuh lalat elektrik untuk mengurangkan jumlah lalat di rumah.
  6. Gunakan pelindung jaring pada tingkap untuk mengelakkan kemasukan lalat.
  7. Pastikan kawasan keliling rumah bersih daripada kotoran yang menjadi tempat pembiakan lalat. 
  8. Bersihkan najis haiwan peliharaan dengan segera.
  9. Elakkan makan di restoran yang tidak bersih dan menyajikan makanan yang terdedah.

 

 

Tahukah Anda?

  • Lalat betina mampu bertelur sehingga 600 biji sepanjang hayatnya.
  • Lalat rumah mampu terbang lebih 30 kilometer untuk mencari makanan.
  • Lalat tidak mempunyai gigi, tetapi mempunyai belalai (probosis) untuk menyedut cairan makanan.
  • Lalat mempunyai sepasang mata kompaun dengan setiap satunya mempunyai ribuan lensa kecil.
  • Terdapat lebih 100 patogen direkodkan daripada lalat rumah dengan 65 daripadanya boleh ditularkan kepada manusia.

Kutu Kepala

29 Nov 2021 Artikel

Tema : Kesihatan
Penulis : Dr. Syamsa Rizal Abdullah
Ketua Jabatan / Pensyarah
Jabatan Parasitologi & Entomologi, Fakulti Perubatan UKM

 

Jangkitan Kutu Kepala & Rawatannya

Sebut saja perkataan ‘kutu’, pasti semua orang terbayang aksi menggaru kepala akibat kegatalan. Namun, tahukah anda bahawa sebenarnya kutu tidak hanya terhad pada kawasan kepala? Selain kutu kepala, manusia juga boleh dijangkiti oleh kutu badan dan kutu kemaluan terutamanya pada golongan yang tidak menjaga kebersihan tubuh badan. Namun begitu, kutu kepala merupakan antara jangkitan yang penting terutamanya pada golongan kanak-kanak. Ia ditandai dengan rasa kegatalan pada kulit kepala dan diikuti dengan penemuan pelbagai peringkat kutu sama ada telur (nit), nimfa atau kutu dewasa. Jangkitan kutu yang banyak dan berterusan akan menimbulkan rasa kurang selesa, gelisah dan hilang tumpuan. Justeru, adalah amat penting untuk kita sama-sama sedar dan berusaha melindungi diri, anak-anak dan keluarga daripada dijangkiti kutu kepala.

 

1. Apakah kutu?

Kutu adalah serangga kecil yang amat sinonim dengan masyarakat. Ia mempunyai tiga pasang kaki, berwarna kelabu kecoklatan dan tidak mempunyai sayap. Jangkitan kutu pada manusia dikenali juga sebagai pedikulosis. Sebenarnya terdapat tiga jenis kutu pada manusia iaitu kutu kepala, kutu badan dan kutu kemaluan. Kutu kepala, atau nama saintifiknya Pediculus capitis, mudah menjangkiti golongan kanak-kanak terutamanya murid-murid sekolah, manakala kutu badan (Pediculus humanus) dan kutu kemaluan (Pthirus pubis) biasanya menjangkiti golongan yang tidak menjaga kebersihan badan seperti golongan gelandangan. Secara umum, kitar hidup kutu adalah lebih kurang 4 minggu dan mempunyai tiga peringkat perkembangan iaitu bermula dengan telur (nit), diikuti peringkat nimfa dan seterusnya berkembang ke peringkat dewasa. Bagi kutu kepala, kedua-dua kutu jantan dan betina menghisap darah pada kepala manusia beberapa kali setiap hari. Ketika menghisap darah, air liur yang mengandungi kesan toksik akan disuntik masuk ke dalam salur darah pada kulit kepala manusia. Ini akan mengakibatkan rasa kegatalan, gelisah dan hilang tumpuan. Kebiasaannya, sebanyak 10 hingga 20 ekor kutu dewasa boleh ditemui pada seseorang pesakit. Namun begitu, bagi jangkitan yang teruk, boleh wujud lambakan pelbagai peringkat kutu berserta kehadiran eksudat akibat gigitan kutu pada kulit kepala. Jangkitan bakteria dan kulat juga boleh berlaku akibat aktiviti menggaru yang berlebihan.

 

2. Bagaimana kutu berjangkit?

Memandangkan kutu merupakan serangga yang bergerak secara merangkak, maka cara jangkitan kutu kepala yang paling utama adalah sentuhan daripada rambut ke rambut. Ini boleh berlaku melalui aktiviti harian dan perkongsian tempat tidur. Selain itu, berkongsi peralatan seperti sikat, skaf, tuala dan topi dengan individu yang dijangkiti juga berpotensi untuk menyebabkan anda dijangkiti.

 

3. Bagaimana mengesan dan merawat kutu kepala?

Jangkitan kutu kepala ditandai dengan kegatalan pada kulit kepala. Namun begitu, jangkitan aktif kutu hanya dapat dipastikan melalui pengesanan telur dan kutu hidup pada kepala. Memandangkan kutu mudah berjangkit, maka pengesanan kutu juga perlu dijalankan kepada ahli keluarga atau orang yang berhubung rapat dengan pesakit. Cara terbaik untuk mengesan kutu kepala adalah dengan menggunakan teknik sikatan basah seperti berikut:

  1. Lumurkan perapi rambut pada keseluruhan rambut.
  2. Sikat menggunakan sikat biasa bagi meleraikan rambut yang kusut.
  3. Sikat kutu (sikat bergigi rapat) digunakan untuk menyisir rambut secara berhati-hati bermula dari kulit kepala sehingga hujung rambut.
  4. Periksa kehadiran kutu pada celah-celah gigi sikat selepas setiap kali sikatan.
  5. Keseluruhan bahagian rambut disikat secara sistematik sekurang-kurangnya dua kali.

Rawatan adalah amat perlu kepada mereka yang dijangkiti kutu kepala. Membotakkan kepala merupakan cara paling mudah, namun mungkin akan memberikan kesan emosi kepada sesetengah pesakit. Sebagai pilihan, terdapat pelbagai syampu antikutu (pedikulosid) yang boleh didapati di pasaran. Walau apapun jenama yang dipilih, pastikan anda menggunakan syampu kutu tersebut mengikut arahan yang diberikan. Kebiasaannya, syampu antikutu perlu dibiarkan selama beberapa jam (bergantung kepada jenama) pada bahagian rambut sebelum dibilas. Penggunaannya perlu diulang selepas tujuh hari bagi memastikan keseluruhan kutu pada kepala dapat dibasmi. Penyisihan kutu melalui sikatan basah secara kerap (diulang pada hari ke-5, 9 dan 13) juga boleh dijadikan alternatif terutama bagi peringkat awal kanak-kanak atau golongan yang mengelak daripada menggunakan terapi secara kimia.

 

 

Tahukah Anda?

  • Kutu kepala perlu berada pada kepala manusia untuk terus hidup. Sekiranya tidak berada pada kepala, kutu akan mati dalam tempoh dua hingga tiga hari.
  • Kutu betina bertelur sebanyak 6-8 telur sehari dan mampu bertelur lebih 100 biji sepanjang hayatnya.
  • Kutu bergerak secara merangkak. Kutu tidak melompat, tidak terbang dan tidak menggunakan haiwan peliharaan sebagai pembawa.

Ekzema

29 Nov 2021 Artikel

Oleh: Prof Madya Dr Adawiyah Jamil & Prof Madya Dr Leelavathi Muthupalaniappen

Ramai yang mungkin pernah mendengar atau mengalami penyakit kulit yang dikenali sebagai ekzema. Ekzema atau dermatitis ialah sejenis penyakit radang kulit yang sangat lazim ditemui dalam kalangan kanak-kanak dan dewasa.

Penyakit ekzema berkait rapat dengan faktor genetik dan kerap berlaku dalam kalangan ahli keluarga yang sama. Faktor genetik menyebabkan kulit mengalami kerosakan, tindak balas sistem keimunan yang berbeza seterusnya, menyebabkan kulit hilang fungsi sebagai pelindung, berlaku alahan (allergy) dan rengsa (irritation).

Tanda-tanda ekzema di kulit agak berbeza bergantung kepada jenis ekzema. Kawasan kulit yang terjejas oleh ekzema juga berbeza mengikut jenis ekzema. Antara sifat utama penyakit ini ialah menyebabkan kulit berasa sangat gatal dan merah. Ruam berbiji atau berair mungkin dialami pada bahagian muka, kulit yang berlipat seperti leher, depan siku dan belakang lutut. Kulit juga akan kelihatan kering. Masalah ini biasanya akan berkurangan dengan rawatan. Episod ini akan berulangan atau kekal untuk jangka masa yang lama apabila ekzema berada pada peringkat yang serius.

 

 

 

 

 

 

 

 

Gambar kanak-kanak yang terjejas akibat penyakit ekzema

 

Terdapat pelbagai jenis ekzema. Secara umumnya, ekzema terbahagi kepada 3 jenis. Pertamanya, ekzema yang berpunca daripada faktor genetik dan tidak mempunyai kaitan dengan alahan (contoh, atopic eczema/ atopic dermatitis), di mana ekzema sendiri merupakan sejenis penyakit. Atopic eczema atau infantile eczema dan seborrheic eczema ialah jenis ekzema yang paling lazim berlaku dalam kalangan kanak-kanak. Kedua, ekzema yang berpunca daripada alahan sama ada makanan atau  sentuhan dengan sesuatu bahan yang menyebabkan ruam. Contohnya, minyak wangi atau sabun allergic dermatitis. Jenis ekzema yang ketiga, berpunca daripada gabungan jenis ekzema pertama dan kedua.

Jenis ekzema seperti, seborrheic eczema, hand and feet eczema dan stasis eczema lebih kerap berlaku dalam kalangan dewasa. Manakala steatotic eczema dan stasis eczema lebih kerap berlaku dalam kalangan warga tua.


Punca-punca penyakit ekzema

Ekzema berpunca daripada gabungan pelbagai faktor seperti faktor asas dan faktor pencetus. Faktor asas ialah faktor yang tidak boleh dielakkan seperti genetik atau keturunan.  Faktor genetik dapat menjelaskan mengapa ekzema hanya dialami oleh segelintir orang dan bukan semua orang. Kulit terdiri daripada 3 lapisan. Lapisan yang paling atas boleh diibaratkan seperti dinding yang melindungi keseluruhan badan. Punca genetik menyebabkan lapisan ini hilang daya pelindung dan memberi peluang kepada organisma serta bahan kimia dari luar untuk menembusinya.  Ini merupakan titik permulaan kepada ekzema.

Sistem keimunan pesakit ekzema juga bertindak balas secara berbeza. Ini tidak bermaksud sistem ini lemah, tidak aktif atau terlalu aktif. Ianya masih normal tetapi bertindak secara berlainan dari biasa terhadap rangsangan unsur-unsur dari luar dan dalam badan.

Terdapat juga penyakit-penyakit lain yang berhubung kait secara genetik dengan penyakit ekzema. Antaranya adalah seperti berikut:-

  1. Resdung (allergic rhinitis) (kerap bersin dan hidung berair sewaktu sejuk atau berhabuk, hidung gatal)
  2. Allergic conjunctivitis (mata merah, berair dan gatal terutama apabila terdedah kepada habuk)
  3. Gegata (urticaria)
  4. Lelah/ asma (asthma)

Jika mempunyai ahli keluara yang mempunyai pertalian darah (contohnya ibu,bapa atau adik-beradik) yang menghidap salah satu daripada penyakit tersebut, kemungkinan ahli keluarga yang lain juga boleh mendapat ekzema atau mana- mana penyakit lain yang berkait secara genetik.  Kerapkali, ekzema yang tidak serius mungkin tidak akan disedari kerana impaknya yang ringan. Contoh manifestasi ekzema ringan adalah seperti kelemumur, tumit merekah, bibir kering, tompokan kulit kering pada kaki dan tangan serta kulit sensitive seperti gigitan nyamuk mengambil masa yang lama untuk sembuh.

Pencetus ekzema pula ialah faktor-faktor yang menyebabkan sesuatu episod ekzema itu timbul atau menjadi aktif.  Faktor-faktor pencentus ekzema lazimnya melibatkan persekitaran dan dapat dielakkan. Berikut adalah berberapa contoh pencetus ekzema:

  1. Rengsa (irritant) seperti cuaca yang panas dan berpeluh atau cuaca yang sejuk dan kering (penggunaan pendingin hawa yang berpanjanganan, fabrik pakaian yang kasar atau sabun yang mengadungi bahan pencuci (detergent) yang kuat)

  2. Tekanan dari segi mental atau fizikal juga boleh mencetuskan ekzema

  3. Allahan (allergy) seperti hama habuk (house dust mite), bulu dari haiwan peliharaan seperti kucing dan anjing dan debunga

  4. Kuman staphylococcus yang terdapat pada kulit dapat mencetus ekzema. Bakteria ini dapat menembusi lapisan dinding kulit yang telah hilang daya pelindung dan menyebabkan kerosakan. Kulit ekzema juga lebih mudah terjangkit dengan virus.

  5. Ekzema menyebabkan kulit menjadi gatal. Tindakan menggaru kulit menyebabkan penghasilan histamine dalam badan yang menjadikan seseorang itu merasa lebih gatal. Menggaru juga boleh menyebabkan kulit melecet yang memberi peluang kepada kuman menembusi kulit dan menyebabkan jangkitan.

Makanan jarang menjadi penyebab ekzema. Sekiranya makanan adalah pencetus kepada ekzema, keadaan kulit akan menjadi lebih teruk secara tiba-tiba (dalam masa 24 hingga 48 jam) selepas makan makanan tersebut. Ekzema yang berpunca daripada alahan boleh sembuh sepenuhnya jika punca alahan tersebut dapat di kenal pasti dan dielakkan. Ekzema yang tidak berkaitan dengan alahan dan berpunca dari faktor genetik tidak boleh sembuh sepenuhnya, tetapi dapat dikawal hingga ke tahap minimum dengan mengurangkan kekerapan berulang dan meningkatkan tempoh masa di antara sesuatu episod.

 

Ujian untuk mengenal pasti penyakit ekzema

Ujian makmal seperti ujian darah tidak diperlukan untuk mengenal pasti penyakit ekzema. Pengesahan boleh dibuat oleh doktor secara klinikal berdasarkan sejarah penyakit dan dengan melihat serta memeriksa keadan kulit.

Sekiranya pesakit disyaki turut mengalami alahan kepada bahan-bahan yang telah disapu atau tersentuh dengan kulit, ujian kulit patch test boleh dilakukan untuk mengenal pasti bahan tersebut. Ujian tambahan bagi alahan makanan boleh dilakukan sekiranya pesakit disyaki mengalami alahan makanan dengan ujian skin prick test atau ujian darah. Namun, bukan semua jenis makanan dapat diuji dengan cara ini dan ujian ini juga tidak dapat memberi keputusan yang 100% tepat. Ia hanya boleh digunakan sebagai panduan untuk mengenal pasti makanan yang mungkin menyebabkan alahan dan perlu dielakkan. Sekiranya sesuatu makanan itu menyebabkan alahan, keadaan kulit akan menjadi lebih teruk (bertambah gatal dan ada ruam baharu) dalam masa 24 ke 48 jam selepas makanan tersebut dimakan.

 

Rawatan untuk ekzema

Rawatan yang paling penting untuk ekzema ialah penjagaan asas kulit. Sabun dan pelembab yang sesuai perlu sentiasa digunakan. Ubat sapu khas untuk ekzema serta ubat yang dimakan hendaklah berdasarkan nasihat doktor. Pesakit ekzema perlu sentiasa berhati-hati dalam memilih produk-produk kebersihan dan kecantikan kerana mungkin mengandungi bahan yang dapat mencetus ekzema.

Sabun yang sesuai untuk penyakit ekzema ialah sabun khas yang tidak mengandungi kandungan bahan pencuci yang kuat, tidak menghasilkan banyak buih dan tidak mengeringkan kulit. Sabun yang mengandungi lye (sodium hydrochloride), potassium hydroxide, sodium lauryl sulphate), bahan anti-bakteria dan wangian perlu dielakkan. Sabun tidak dapat merawat ekzema yang aktif, tetapi sabun yang sesuai dapat membantu mengekalkan kelembapan pada kulit dan seterusnya memelihara lapisan pelindung kulit.

Penggunaan pelembab (moisturiser) ialah langkah paling penting untuk mengawal penyakit ekzema kerana kebanyakan pesakit mempunyai kulit yang kering.  Glycerol atau glycerine dan urea merupakan kandungan pelembab yang baik. Bahan-bahan lain yang juga berkesan ialah petrolatum, paraffin, propylene glycol, ceramide, cholesterol dan minyak mineral atau minyak dari sayuran (kelapa atau zaiton). Penggunaan pelembab secara konsisten dan berterusan dapat mengurangkan kekerapan letusan ekzema serta penggunaan ubat sapu steroid dan ubat-ubat ekzema yang lain.

Ubat sapu steroid merupakan ubat yang paling kerap disarankan oleh doktor. Ianya berkesan untuk merawat setiap peringkat ekzema. Terdapat pelbagai jenis ubat sapu steroid dengan kekuatan (potency) yang berbeza.  Ubat sapu steroid perlu digunakan secara betul untuk mendapatkan kesan yang terbaik.  Pemilihan jenis steroid yang tidak sesuai atau penyalahgunaannya boleh menyebabkan kesan sampingan yang tidak diingini. Cara penggunaan yang salah juga boleh menyumbang kepada masalah kebergantungan kepada steroid (steroid dependence).

Ubat sapu calcineurin inhibitor (TCI) dan crisaborole ialah ubatan yang lebih baharu dan tidak mengandungi steroid. Kesan sampingan adalah seperti rasa pedih dan sakit boleh menghadkan penggunaan ubat ini, di samping kosnya yang tinggi. Selain ubat sapu, ubat antihistamine (ubat makan) dapat membantu untuk mengurangkan rasa gatal dan memberi keselesaan kepada pesakit.

Balutan basah wet wrap) ialah rawatan intensif untuk ekzema tahap sederhana dan serius. Ia dapat membantu ubat sapu diserap dengan lebih baik ke dalam kulit serta mengelakkan kulit daripada digaru.  Mandian antiseptik (bleach bath) 2-3 kali seminggu dapat mengawal kandungan kuman pada permukaan kulit.

Ekzema tahap serius mungkin memerlukan rawatan tambahan seperti ubat makan prednisolone, cyclosporin, azathioprine dan methotrexate. Prednisolone merupakan sejenis ubat steroid.  Ubat-ubat ini bertindak dengan mengawal ekzema melalui kesannya kepada sistem keimunan. Kesemua ubat ini mempunyai pelbagai kesan sampingan yang perlu dipantau oleh doktor yang berkelayakan dan berpengalaman. Keputusan untuk menggunakan ubat-ubat ini memerlukan pertimbangan berdasarkan faedah dan kesan sampingannya.

Rawatan seperti fototerapi juga boleh digunakan untuk pesakit ekzema yang tidak menunjukkan tindak balas yang optimum dengan rawatan yang lain. Rawatan ini sesuai untuk ekzema tahap sederhana atau serius. Rawatan fototerapi menggunakan kaedah pendedahan kulit pada sinaran Ultraviolet A (UVA) atau B (UVB) dari mesin khas sebanyak dua atau tiga kali seminggu untuk jangka masa yang tertentu.

Kesimpulannya, ekzema ialah penyakit kulit berunsur genetik yang lazim. Walaupun penyakit yang berunsur genetik tidak dapat pulih sepenuhnnya, terdapat berberapa jenis rawatan yang boleh digunakan untuk mengawal keadaan kulit supaya tahap ekzema adalah minimum dan pesakit berada dalam keadaan selesa. Untuk menjayakan rawatan, pesakit perlu menjaga kulit mereka dengan menggunakan sabun yang sesuai, rajin menyapu pelembab dan menjauhkan diri daripada pencetus ekzema yang telah dikenal pasti.

 

 

Professor Madya Dr. Adawiyah Jamil
Pensyarah dan Pakar Perunding Kanan Perubatan
Ketua Unit Dermatologi
Jabatan Perubatan HCTM

Professor Madya Dr. Leelavathi Muthupalaniappen
Pensyarah dan Pakar Perunding Kanan Perubatan Keluarga
Jabatan Perubatan Keluarga HCTM

Komplikasi dan risiko wanita hamil

29 Nov 2021 Artikel

Soalan:

 

1.  Wanita mengandung yang dijangkiti COVID-19 dan dimasukkan ke hospital kerana berisiko berdepan komplikasi serius selain boleh berdepan risiko tinggi melahirkan bayi pramatan.

Sepertimana yang kita sedia maklum, pesakit yang dijangkiti Covid-19, dibahagikan kepada beberapa katogeri yakni katogeri 1 hingga 5. Mereka yang diklasifikasikan sebagai katogeri 4b atau 5 lazimnya memerlukan bantuan pernafasan iaitu intubasi(ditidurkan dalam istilah umum). Sekiranya kandungan kehamilan telah besar yakni 26 minggu keatas, ia secara tidak langsung ia akan menyengkang pergerakan diafram di dada. Ini boleh membantut pertukaran oksigen di dalam badan disebabkan kapasiti paru-paru menjadi kecil. Bagi membolehkan paru-paru kembali berkembang secara maksimum, bayi yang dikandung haruslah dikeluarkan dari rahim ibu. Sekiranya bayi yang dilahirkan sebelum 36 minggu kehamilan, ia dianggap sebagai kelahiran pramatang. Mereka yang didiagnos sebagai katogeri 1-3 lazimnya tidak memerlukan kepada intubasi. Oleh itu mereka tidak perlu kepada kelahiran pramatang. 

 

2.  Apakah wanita hamil lebih sukar sembuh daripada Covid-19?

Secara amnya, wanita hamil mempunyai kadar imuniti yang lebih rendah berbanding orang lain. Mereka ini lebih mudah dijangkiti penyakit. Sekiranya mereka mempunyai kencing manis, darah tinggi, masalah jantung, asma atau masalah kesihatan yang lain, tahap imuniti mereka menjadi lebih rendah. Kebolehan mereka melawan sebarang jangkitan menjadi rendah dan mereka akan terdedah kepada komplikasi yang lebih teruk. Mereka yang diklasifikasi sebagai katogeri 1 atau 2 lazimnya akan sembuh sekiranya mereka tidak mempunya masalah kesihatan yang lain. Namun bagi mereka yang diklasifikasikan sebagai katogeri 4 atau 5, kadar peratus kesembuhan menjadi lebih rendah disebabkan imuniti yang rendah. Kadar peratusan ini akan turun lagi sekiranya mereka mempunyai masalah kesihatan yang lain.

 

3.  Wanita hamil berisiko komplikasi lebih tinggi?

Apabila seseorang wanitu itu hamil, akan berlaku perubahan dalaman secara semulajadi. Antara perubahan yang dialami oleh setiap wanita hamil ialah darah mereka menjadi lebih likat (`hypercoaguable state’). Ini menyebabkan mereka lebih cenderung mengalami masalah darah beku di dalam badan. Sekiranya wanita tersebut dijangkiti penyakit seperti jangkitan Covid-19, kadar kelikatan darah mereka meningkat dan ini menyebabkan mereka menjadi lebih berisiko untuk mendapat komplikasi seperti darah beku di paru-paru serta kegagalan buah pinggang.

 

4. Bolehkah virus itu disebar dari ibu ke bayi dalam kandungan, atau semasa kelahiran?

Terdapat beberapa laporan menyatakan kemungkinan transmisi virus dari ibu kepada bayi dalam kandungan boleh berlaku sewaktu kehamilan. Ini dibuktikan dengan penemuaan virus pada uri(placenta), tali pusat bayi, air ketumban serta bayi yang diasingkan selepas kelahiran didapati positif dengan jangkitan Covid-19. Namun peratusannya sangat kecil yakni kurang dari 3%. Lazimnya, bayi ini akan diuji untuk jangkitan virus pada hari pertama kelahirannya. Sekiranya keputusan adalah negatif, pemeriksaan ulangan akan dibuat pada hari ketiga kelahiran. Kebanyakan bayi mempunyai result yang negatif pada hari pertama serta hari ketiga kehamilan. 

 

5. Bagaimana proses kelahiran berbeza bagi wanita hamil yang dijangkiti Covid-19?

    Ada yang perlu menjalani caesarean. Bagaimana peluang kedua-dua ibu dan bayi ini selamat selepas caesarean?

Wanita hamil yang dijangkiti Covid-19 lazimnya akan dinasihatkan untuk menjalani kelahiran secara pembedahan caesarean. Sekiranya pembedahan ini dilakukan ketika kehamilan telah matang serta keadaan wanita itu stabil, pembedahan ini selamat dilakukan dan kadar komplikasi adalah sama seperti mereka yang sihat. 

Namun sekiranya pembedahan ini terpaksa dilakukan pada wanita hamil katogeri 4 atau 5 yang mana kandungan masih belum matang, sudah tentu akan ada komplikasi kepada  bayi tersebut. Ini kerana bayi tersebut terdedah kepada risiko berkaitan dengan pramatang yang mungkin memudaratkan di masa akan datang. Keputusan untuk mengeluarkan bayi pramatang haruslah dbincang bersama pakar kanak-kanak serta pakar bius.  Alat pernafasan bayi(ventilator) haruslah disediakan bagi menyambut bayi pramatang ini. Keputusan untuk mengeluarkan bayi ini adalah penting sebagai usaha untuk merawat paru-paru ibu yang telah terkesan dengan penyakit Covid-19.



6.  Difahamkan ada ibu hamil yang meninggal dunia tidak sempat dapat dua dos vaksin. Jelaskan mengenai tahap ini, selepas mendapat vaksin dos pertama  – sejauh peratus  tahap imuniti mereka dan apabila mendapat dos kedua pula berapa peratus tahap imuniti mereka (adakah ini sudah mencukupi).

Jujur saya katakan, yang saya tidak mempunyai data yang sebenar untuk kadar penyakit Covid-19 di kalangan ibu hamil di Malaysia. Saya jugak tidak pasti berapa ramai wanita hamil telah menerima vaksinasi. Saya hanya boleh berkongsi dari segi pengalaman serta permerhatian saya sahaja. Sekilas pandang di dalam wad biasa sahaja (wad bukan covid), saya dapati 40-50% ibu yang telah selamat bersalin masih belum berkesempatan mendapatkan vaksinasi. Pada awal pandemik ini, peratusan wanita hamil dijangkiti Covid -19 adalah sangat rendah. Namun sejak kebelakangan ini, kadar kemasukan wanita hamil ke hospital meningkat dengan mendadak. Ini mungkin disebabkan variant yang baru yang lebih agresif. Secara purata, 20-30% wanita hamil yang dijangkiti penyakit Covid-19 yang dimasukkan ke hospital merupakan mereka yang terdiri dari katogeri 4 dan 5 yang mana mereka memerlukan bantuan alat pernafasan. Kebanyakan mereka ini masih belum berkesempatan mendapat vaksinasi. Mungkin ada satu atau dua orang yang baru mendapat satu dos vaksin untuk katogeri 4. Selebihnya masih belum lagi menerima vaksin. Ini menunjukkan keberkesanan satu dos vaksinasi adalah tidak mencukupi untuk melindungi diri wanita hamil ini. Untuk katogeri 1 atau 2, kebanyakan kes yang dirawat telahpun menerima dua dos vaksinasi mereka. Oleh itu kadar jangkitan yang dialami adalah tidak begitu teruk. 

 

7. Jelaskan mengenai prosedur ibu hamil yang terpaksa dimasukkan ICU, kemudian ditidurkan, juga ada yang ditelengkupkan, bagaimana semua proses ini membantu menyelamatkan pesakit.    

Apabila kadar oksigen dalam badan menurun, seseorang itu akan tercungap-cungap dalam usaha untuk mendapat lebih oksigen. Sekiranya dibiarkan berterusan, mereka menjadi sangat letih serta tidak mampu lagi menarik nafas dengan sempurna. Mereka ini perlu diberi oksigen dengan kadar segera melalui tiub kecil di hidung, mask muka atau intubasi bergantung pada paras oksigen mereka. Apabila paras oksigen terlalu rendah yang mana pernafasan semulajadi tidak lagi mampu menampung keperluan badan, intubasi akan dilakukan oleh doktor untuk mengambil alih proses pernafasan itu. Pada ketika itu, mereka akan diberi bius untuk membolehkan intubasi dilakukan(`ditidurkan’). Oksigen akan dipam ke seluruh badan secara mekanikal. 

Apabila seseorang itu berada dalam posisi melentang, jantung serta organ dalaman seperti usus, hati dan limpa akan menekan paru-paru. Ini membatas perkembangan paru-paru tersebut serta pergerakan diafram. Kehadiran bayi didalam rahim yang besar juga akan memburukkan lagi keadaan ini. Pada masa yang sama disebabkan graviti, terdapat perbezaan di antara tekanan di antara paru-paru di bahagian atas dan bawah yang menyebabkan alveoli di bahagian bawah menguncup. Kadar aliran darah adalah tinggi dibahagian bawah namun pertukaran oksigen tidak berlaku kerana alveoli telah menguncup. Apabila pesakit ditelangkupkan, pertukaran posisi ini membantu pengembangan alveoli yang menguncup tadi. Alveoli ini boleh berkembang dengan baik dan ini membantu dalam pertukaran oksigen-karbon dioksida di dalam badan. Apabila ini berlaku, paras oksigen dapat dipulihkan. 

Kehadiran bayi dalam rahim menyukarkan pertukaran posisi ini. Setelah diambil kira risiko kepada ibu, kelahiran secara pembedahan caesarean harus dilakukan dalam usaha untuk membantu meningkatkan kadar oksigen di dalam badan wanita tersebut. 

 

8. Apa akan jadi kepada ibu hamil yang masih belum dapat vaksin,  walaupun sudah memasuki  10 minggu atau ada yang sudah melebih kehamilan 20 minggu? 

Memandangkan bilangan kes yang kian meningkat saban hari, sudah tentu wanita hamil ini terdedah kepada jangkitan Covid-19. Pada waktu ini, kita sudah tidak dapat menjangka dari mana punca jangkitan ini. 

 

9.  Bagaimana ingin mengawal paras oksigen turun dalam kalangan ibu hamil ini? Apakah implikasi yang akan pesakit derita apabila paras oksigen mereka menurun?

10. Ibu hamil  yang mempunyai penyakit kronik seperti asma, kencing manis, obesiti dan sebagainya, lazimnya lebih berisiko tinggi dijangkiti dan harapan untuk sembuh/atau diselamatkan nyawa mereka tipis ? apa pandangan dr berkaitan ini.

Seperti yang telah nyatakan tadi, mereka yang mempunyai masalah kesihatan mempunyai risiko yang tinggi, namun ini tidak bermakna harapan untuk sembuh adalah nipis atau tiada sama sekali. Sekiranya masalah kesihatan mereka berada pada tahap kawalan yang baik, In syaAllah harapan untuk sembuh tetap ada lebih-lebih lagi sekiranya mereka diklasifikasikan sebagai katogeri 1 atau 2. 

Namun, bagi mereka yang diklasifikasi sebagai katogeri 4 atau 5, kadar kesembuhan mereka adalah sekitar 40-50%. 

 

11. Bagi ibu hamil yang tiada sebarang penyakit kronik, tetapi dijangkiti COVID-19, bagaimana kebarangkaliannya untuk sembuh dan diselamatkan nyawa mereka.  

Bagi ibu hamil yang telah menerima dua dos vaksinasi dan tidak mempunyai masalah kesihatan yang lain, sekiranya mereka dijangkiti penyakit Covid-19, mereka lazimnya dklasifikasikan sebagai katogeri 1 atau 2. In syaAllah kadar kesembuhan mereka lebih tinggi jika dipantau dengan rapi serta diberi rawatan awal.

 

12. Kongsi pengalaman doktor mengenai pesakit-pesakit  hamil yang datang mendapat rawatan terutama kes kronik, (merujuk kepada soalan di atas).

Setahun yang lalu, kita lihat ramai warga tua yang dijangkiti penyakit Covid-19 dan ramai di kalangan mereka ini meninggal dunia disebabkan komplikasi Covid-19 serta masalah kesihatan sediada. Kini kita lihat ramai yang muda masuk ke wad disebabkan jangkitan Covid-19. Ada di antara mereka ini tidak mempunyai sebarang sejarah kesihatan, dalam erti kata lain -`sihat’. Ramai yang kecundang dalam melawan jangkitan ini. Wanita hamil mempunyai risiko kematian 1.8-2.5 kali ganda berbanding dengan populasi umum. Kebanyakan wanita yang dimasukkan di wad memerlukan bantuan oksigen. Imbasan X-ray paru-paru menunjukkan jangkitan Covid-19 telah menyerang paru-paru mereka menyebabkan mereka menghadapi kesukaran untuk bernafas. Adakalanya inflamasi yang dihasilkan oleh virus tersebut menyebabkan saluran darah menjadi tidak normal serta cenderung kepada pembentukan darah beku yang kecil yang boleh menyebabkan kegagalan buah pinggang. Bila ini terjadi, adakalanya sukar diubati. Ini kerana sehingga kini, tiada ubat yang mampu membunuh virus tersebut. Virus merupakan sejenis makluk yang mampu merubah bentuk untuk melawan persekitaran yang tidak kondusif baginya. Ia akan berubah untuk menjadi lebih kuat untuk kelangsungan hidupnya.

 

13.  Bagaimana penjagaan kesihatan sepatutnya dalam kalangan wanita mengandung untuk elak dijangkiti COVID-19

Setiap wanita mengandung haruslah menjaga kesihatan badan mereka dengan memastikan mereka berada pada tahap imuniti yang baik. Mereka haruslah menjaga pemakanan mereka serta aktif melakukan pergerakan. Sekiranya mereka mempunyai masalah kesihatan, mereka perlu memastikan masalah itu terkawal. Pada masa yang sama, mereka harus sentiasa memakai pelitup muka sekiranya berada di luar rumah walaupun ianya amat merimaskan. Perlu sentiasa amalkan kebersihan diri serta kerap membasuh tangan. Buat masa ini, kurangkan masa berada di luar rumah terutamanya tempat awam yang ramai orang sekiranya tiada keperluan. Memang adakalanya kta berasa bosan berada di dalam rumah, namun kita harus berikhtiar untuk melindungi diri serta bayi yang dikandung. Kesihatan mental juga adalah penting bagi memastikan ibu dan bayi yang dikandung berada dalam kesihatan yang optimum.

 

14.  Keperluan dan vaksin kepada ibu hamil. Jelaskan lebih lanjut berkaitan ini bagi mengelak jangkitan.

Dari apa yang kita dah lihat, ibu hamil yang belum berkesempatan untuk mendapat dua dos vaksinasi, sekiranya mereka dijangkiti penyakit Covid-19, mereka akan mendapat jangkitan yang lebih teruk(katogeri 4 atau 5) yang mana kita semua tahu buat masa ini kadar kesembuhan adalah jauh lebih rendah. Manakala mereka yang telah menerima dua dos vaksinasi, sekiranya mereka masih dijangkiti dengan penyakit Covid-19 ini, jangkitan adalah tidak begitu teruk dan kadar kesembuhan adalah lebih tinggi. Oleh itu saya menyeru semua wanita hamil untuk tampil berjumpa doktor untuk berbincang mengenai vaksinasi serta mendapatkannya dengan dengan kadar segera. Kalau mengikut guideline semasa, vaksinasi diberi apabila kandungan mencecah usia 13 minggu hingga 33 minggu. Ini kerana ramai wanita risau sekiranya vaksinasi diberi semasa pembentukan janin. Pada masa yang sama, tiada masalah untuk menerima vaksinasi selepas 33 minggu . Buat masa ini, kita tidak boleh menghalang jangkitan itu sama sekali, tetapi kita mampu merendahkan risiko jangkitan Covid-19 kepada diri kita serta komplikasinya. Sama-sama kita berusaha menjaga kesihatan diri kita serta menghindar diri dari dijangkiti penyakit Covid-19. Kita kini tahu yang satu dos vaksinasi tidak mampu menghalang jangkitan Covid-19 yang lebih agresif ini. 

Mengenai kesihatan mental

26 Nov 2021 Artikel

Soalan:

1. Masalah kesihatan mental antara masalah utama terutama kepada pandemik COVID-19. Bagaimana mengesan seseorang itu berdepan dengan masalah kesihatan mental.

– Pandemik COVID-19 telah memberikan impak dan beban yang signifikan terhadap kesihatan mental. Pendedahan kepada pelbagai insiden berkaitan COVID-19 seperti di jangkiti virus COVID-19, kematian seseorang yang rapat disebabkan COVID-19, kehilangan pekerjaan dan masalah kewangan menyebabkan ramai mengalami masalah kemurungan. Individu yang mempunyai penyakit psikiatri sebelum bermulanya pandemik berhadapan dengan cabaran yang lagi besar disebabkan COVID-19 ini. Ada yang menghadapi gejala penyakit mereka berulang dan bertambah teruk.

– Mengesan seseorang itu berhadapan masalah kesihatan mental (apa yang orang lain boleh nampak atau kesan)

a. Seseorang itu mengalami perubahan tingkahlaku, dari seorang yang ceria boleh menjadi pendiam, Individu yang mengasingkan diri tanpa sebab, perubahan/ masalah tidur, tidak boleh melakukan pekerjaan
b. Gejala psikosis: bercakap seorang seolah-olah berinteraksi bersama individu lain, tersenyum2 seorang tanpa sebab, mengabaikan kebersihan diri.
c. Gejala kemurungan: sering menangis, murung, tidak mahu makan, sukar tidur malam, mengasingkan diri, cuba mencederakan diri, hilang focus dan cepat letih.
d. Gejala Mania: terlalu peramah, cakap banyak, boros berbelanja, kelihatan terlalu bertenaga, tidak mahu tidur atas alasan banyak perkara yang harus dilakukan, cepat marah
e. Gejala anxiety: mengadu berasa tidak selesa, sering resah gelisah, selalu mengatakan sakit kepala, mengadu jantung berdebar laju, tangan mengeletar.

 

2. Bagaimana memahami kecelaruan mental yang membabitkan jenis masalah kesihatan mental masalah kemurungan, keresahan, kecelaruan bipolar dan skizofrenia.

– Memahami melalui mengenali gejala-gejala (symptom) penyakit yang dialami oleh individu yang mengalami masalah kecelaruan mental. Penting untuk mengenali gejala2 awal penyakit nak berulang supaya pesakit dapat dibantu untuk mendapatkan rawatan awal dan mengelakkan penyakit bertambah teruk. Seseorang yang mempunyai gejala psikosis, mereka mungkin ada skizophrenia atau penyakit psikosis yang lain. Seseorang yang mempunyai gejala kemurungan dia mungkin ada penyakit kemurungan. Seseorang yang mempunyai masalah keresahan berkemungkinan dia mempunyai penyakit anxiety. Seseorang yang mempunyai kecelaruan bipolar dia ada gejala kemurungan serta mania. Jika mempunyai gejala dinasihatkan untuk berjumpa doktor bagi mengesahkan diagnosis dan mendapatkan rawatan.

 

3. Rawatan untuk penyakit mental. Rawatan awal untuk penyakit mental, sederhana dan Kronik.

– Penyakit mental boleh diubati . Rawatan untuk penyakit mental termasuk pengambilan ubat-ubatan. Terdapat pelbagai ubat-ubatan yang ada dan boleh membantu pesakit. Selain dari pengambilan ubatan, terdapat juga sessi psikologi seperti sessi kaunseling, sessi psikoterapi, terapi kognitif, terapi keluarga, terapi pendidikan psikologi, terapi berkelompok serta terapi pemulihan cara kerja. Rawatan akan diberikan oleh pakar psikiatri, ahli psikologi klinikal, ahli terapi cara kerja serta jururawat terlatih. Rawatan awal kita ingin memastikan gejala penyakit boleh dikawal dan pesakit stabil. Setelah pesakit bertambah baik dan stabil kita kena memantau dan memberi sokongan agar pesakit terus mengambil rawatan bagi memastikan kestabilan penyakit. Kita kena kenali gejala awal tanda penyakit akan berulang supaya bantuan boleh diberi segera.

 

4. Petua mengurus kesihatan mental dari keadaan yang mild , sederhana dan yang sudah kronik.

– Jangan lupa untuk mengambil ubatan secara teratur dan sistematik -sekiranya terdapat kesan samping ubatan, berjumpalah dengan doktor dan jangan berhenti ubatan tanpa nasihat doktor.
– Menghadiri rawatan susulan yang telah ditetapkan.
– Teknik yang dipelajari sewaktu sessi rawatan psikoterapi hendaklah dipraktikkan.

 

5. Cara/belajar menangani masalah kesihatan mental

– Amalkan gaya hidup yang sihat. Melakukan senaman, makan makanan yang sihat, pastikan tidur yang cukup.
– Sekiranya ada masalah, kongsi dengan orang yang boleh dipercayai. Elakkan dari memendam masalah. Orang yang dipercayai mungkin dapat membantu menyelesaikan permasaalahan.
– Hargai diri anda( reward your self, adakan ME time) serta elakkan mengkritik diri sendiri, terima diri seadanya.
– Menjaga kesihatan fizikal anda
– Wujudkan sokongan keluarga dan sosial yang kukuh. Orang yang mempunyai keluarga atau hubungan sosial yang kuat pada umumnya lebih sihat berbanding mereka yang tidak mempunyai rangkaian sokongan.
– Belajar menangani stres suka atau tidak, tekanan adalah sebahagian daripada kehidupan.

Lawatan YB Menteri Pengajian Tinggi Ke Pusat Pemberian Vaksin (PPV) Hospital Canselor Tuanku Muhriz (HCTM)

29 Mac 2021 2021, Artikel, Berita

29 Mac 2021, Cheras, Kuala Lumpur – Hospital Canselor Tuanku Muhriz (HCTM) hari ini telah menerima kunjungan dari YB Menteri Pengajian Tinggi, Datuk Seri Dr. Noraini Ahmad yang telah melawat Pusat Pemberian Vaksin (PPV) COVID-19. Ketibaan YB Menteri telah disambut oleh YBhg. Prof. Dato’ Ts. Dr. Mohd Ekhwan Hj. Toriman, Naib Canselor Universiti Kebangsaan Malaysia (UKM), YBhg. Prof. Dato’ Dr. Hanafiah Harunarashid, Pro Naib Canselor, Kampus Kuala Lumpur (KKL) dan YBhg. Prof. Dato’ Dr. Razman Jarmin, Pengarah, Hospital Canselor Tuanku Muhriz
(HCTM).

YB Menteri telah meluangkan masa untuk bertemu petugas dan penerima vaksin COVID-19 di sini serta sempat bertanyakan khabar mereka yang akan dan telah menerima suntikan di Pusat Pemberian Vaksin (PPV) COVID-19 ini. Taklimat ringkas telah diberikan oleh Dr. Sharifa Azura Salleh, Ketua Unit Kawalan Infeksi, merangkap Ketua Penyelaras Pusat Pemberian Vaksin (PPV) HCTM mengenai program vaksinasi yang telah dijalankan mulai 1 Mac 2021 sehingga kini. Program vaksinasi ini akan berlangsung secara berperingkat selama 6 minggu melibatkan 4,134
kakitangan. Vaksin Pfizer ini diberikan kepada kakitangan Hospital Canselor Tuanku Muhriz (HCTM), Fakulti Perubatan UKM, Fakulti Pergigian UKM, Fakulti Farmasi UKM, Institut Biologi Molekul Perubatan, UKM (UMBI), Hospital Pakar Kanak-kanak, UKM dan Pusat Kesihatan Universiti, UKM.

Kehadiran YB Menteri sangat signifikan buat semua warga dan telah menyuntik semangat kerja mereka terutama dalam menjalankan tugasan bagi menghadapi penularan wabak COVID-19. Lawatan diakhiri dengan pertemuan ringkas dan tertutup di antara YB Menteri, Naib Canselor UKM dan ahli Pengurusan HCTM yang berlangsung di Pejabat Pengarah, Kompleks Pendidikan Canselor Tuanku Ja’afar, HCTM.

Jabatan Komunikasi Korporat dan Khidmat Pelanggan
Hospital Canselor Tuanku Muhriz
Universiti Kebangsaan Malaysia
29 Mac 2021

Lawatan YB Timbalan Menteri Sains, Teknologi dan Inovasi (MOSTI) ke Pusat Pemberian Vaksin (PPV) HCTM

17 Mac 2021 2021, Artikel, Berita

CHERAS, 17 Mac 2021– Hospital Canselor Tuanku Muhriz (HCTM) hari ini telah menerima kunjungan dari YB Datuk Haji Ahmad Amzad Hashim Timbalan Menteri Sains, Teknologi dan Inovasi (MOSTI) ke Pusat Pemberian Vaksin (PPV), Hospital Canselor Tuanku Muhriz (HCTM).

Kunjungan YB Timbalan Menteri diiringi Prof. Dato’ Dr. Hanafiah Harunarashid, Pro Naib Canselor, Kampus Kuala Lumpur (KKL), Prof. Dr. Abdul Halim Abdul Gafor, Timbalan Pengarah (Perkhidmatan Perubatan) HCTM, Encik Mursidi Ahamad, Timbalan Pengarah (Pentadbiran) HCTM dan Dr. Sharifa Azura Salleh, Ketua Unit Kawalan Infeksi, HCTM merangkap Ketua Penyelaras Pusat Pemberian Vaksin, HCTM. Taklimat ringkas telah diberikan oleh Ketua Penyelaras mengenai program vaksinasi yang telah dijalankan mulai 1 Mac 2021 sehingga kini. Program vaksinasi ini akan berlangsung secara berperingkat selama 8 minggu melibatkan 4,134 kakitangan. Vaksin Pfizer ini akan diberikan kepada kakitangan Hospital Canselor Tuanku Muhriz (HCTM), Fakulti Perubatan UKM, Fakulti Pergigian UKM, Institut Biologi Molekul Perubatan, UKM (UMBI), Hospital Pakar Kanak-kanak, UKM dan Pusat Kesihatan Universiti, UKM.

Kehadiran YB Timbalan Menteri sangat signifikan buat semua warga dan telah menyuntik semangat kerja mereka terutama dalam menjalankan tugasan bagi menghadapi penularan wabak COVID-19. Lawatan diakhiri dengan pertemuan ringkas dan tertutup di antara YB Timbalan Menteri dan ahli-ahli Pengurusan HCTM yang berlangsung di Pejabat Pengarah, Kompleks Pendidikan Canselor Tuanku Ja’afar, HCTM.

Misi Bantuan Banjir bantu 80 keluarga di Temerloh

23 Feb 2021 2021, Artikel, Berita
Program Khidmat Masyarakat ‘Misi Bantuan Bencana Banjir’ anjuran Jabatan Perubatan telah diadakan pada 20 Februari 2021 yang lalu, di Masjid Kg. Tebal Seberang, Temerloh. Seramai 14 orang wakil kakitangan telah menyertai misi ini dan mengagihkan sumbangan berupa wang tunai dan keperluan harian kepada 80 buah keluarga di Kg. Tebal Seberang dan Kg. Padang Tenggala Temerloh yang terjejas akibat banjir.
Kutipan sumbangan RM 15, 642 berjaya dikumpulkan daripada kakitangan HCTM yang bertugas di Jabatan Perubatan, Jabatan Perubatan Kecemasan, Jabatan Obstetrik dan Ginekologi, Jabatan Surgeri, Jabatan Otorinolaringologi, Jabatan Radioterapi, Jabatan Kerja Sosial Perubatan, Jabatan Kualiti, Unit Telefonis JKKKP dan Jabatan Perkhidmatan Kejururawatan. Program kemasyarakatan ini diharapkan dapat meringankan sedikit musibah yang menimpa mangsa banjir di Kg. Tebal Seberang dan Kg. Padang Tenggala Temerloh.

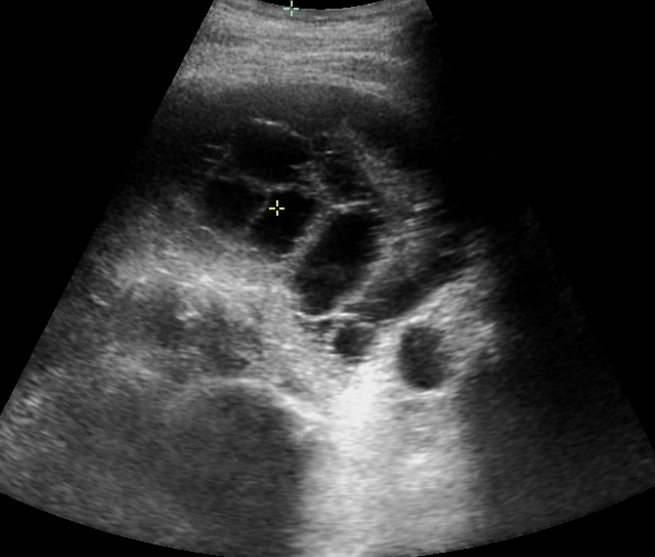
Selaput Paru-Paru Bernanah (Empyema)

7 Jan 2021 Artikel

Kepakaran dan Ubatan alteplase dan pulmozyme (Dornase-Alfa) untuk kegunaan “intrapleural” hanya terdapat di Unit Respiratori, Hospital Canselor Tuanku Muhriz UKM

 Selaput paru-paru bernanah (empyema) adalah peringkat di mana cairan di selaput paru-paru (pleural effusion) bertukar menjadi nanah. Ini terjadi jika rawatan penyakit ini dilengahkan; samada tidak dikesan di peringkat awal atau pesakit tidak melaporkan kepada doktor.

Secara amnya, kandungan dalam cairan di selaput paru-paru adalah sebanyak 10-20 mls. Fungsi utama cairan ini adalah sebagai pelincir bagi memudahkan pergerakan di antara paru-paru dan dinding dada. Apabila ada keradangan atau penyakit lain yang menjejaskan paru-paru, kandungan cairan ini ini akan meningkat. Salah satu sebab peningkatan cairan selaput paru-paru adalah disebabkan jangkitan kuman, samada bakteria, fungi, tibi atau virus. Antara organisma penyebab empyema adalah Mycobacterium tuberculosis, Streptococcus pneumoniae, Pseudomonas aeruginosa, Klebsiella pneumoniae, Staphylococcus aureus, Burkholderia pseudomallei, Enterobacteriaceae dan sebagainya.

Tanda-tanda utama penyakit empyema adalah demam, batuk berpanjangan, sukar bernafas, sakit dada dan berpeluh malam. Pesakit juga boleh mengalami kesusutan berat badan dan kurang selera makan. Pesakit berisiko tinggi untuk mendapat empyema antaranya adalah pesakit  yang mempunyai ketahanan badan yang lemah seperti pesakit kencing manis, kanser, pesakit HIV, dan juga pesakit yang memakan rawatan immunosuppresent  (prednisolone) dan lain-lain.

Rawatan utama empyema adalah bergantung kepada organisma yang menyebabkan penyakit tersebut. Kebiasaanya pesakit akan dimulakan dengan ubatan intravena antibiotic spektrum luas sehingga organisma dapat dikesan dan rawatan tersebut akan diubah suai. Untuk sebarang  rawatan ‘’nanah” yang terdapat di dalam badan pesakit, prinsip utama rawatannya adalah pengeluaran nanah tersebut; dan ini termasuklah empyema. Doktor akan membuat ultrasound dada dan  selepas mengenalpasti tempat dan bius setempat diberikan,   tiub dada akan dimasukkan untuk mengeluarkan nanah tersebut.

Kadang kala, tiub dada tidak dapat mengeluarkan kesemua nanah tersebut disebabkan nanah tersebut telah membentuk banyak poket atau septasi; dan tiub hanya mngeluarkan nanah dari satu ruang sahaja. Jika ini terjadi; rawatan intrapleural alteplase dan pulmozyme dapat dimulakan jika tiada kontra-indikasi.

Untuk makluman, hospital kerajaan di Malaysia, kepakaran dan ubatan alteplase dan pulmozyme terutamanya untuk kegunaan intrapleural hanya  terdapat di HCTM, UKMMC dan juga di UKM Specialist Centre. Di benua Asia Tenggara, selain Malaysia, Singapura juga mempunyai ubatan ini. Fungsi ubatan intrapleural alteplase adalah untuk memecahkan septa di selaput paru-paru. Selepas rawatan intrapleural alteplase, pesakit akan diberikan intrapleural pulmozyme pula yang berfungsi untuk mencairkan nanah di selaput paru-paru. Fungsi synergistic kedua-dua ubat ini akan seterusnya mengingkatkan pengaliran nanah keluar dari selaput paru-paru. Komplikasi pendarahan selepas menggunakan ubatan ini adalah sangat rendah, dalam lingkungan 3-4% dan kebiasannya pendarahan akan berhenti dengan sendirinya.

Ubatan alteplase dan pulmozyme akan diberikan dua kali sehari untuk 2-3 hari di mana ubatan ini akan dilarutkan dan dimasukkan melalui tube dada (intrapleural) sehingga berjaya. Walaupun ubatan ini telah digunakan secara meluas di UK, USA dan Australia, namun idi Malaysia pesakit perlu menandatangani surat kebenaran pengunaan ubatan di luar indikasi. Di HCTM, kami telah melakukan lebih 40 rawatan intrapleural alteplase sejak 2017, dan sejak kami berjaya mengimport pulmozyme pada bulan Disember 2018, kami telah berjaya melakukan 5 rawatan intrapleural alteplase dan pulmozyme dengan 100% kejayaan. Untuk makluman, jika pesakit gagal rawatan intra-pleural alteplase dan pulmozyme, pesakit seterusnya memerlukan rawatan pembedahan untuk pengeluaran nanah tersebut.

Secara kesimpulanya, ubatan intrapleural alteplase dan pulmozyme terbukti keberkesananya untuk rawatan empyema; dan Unit Respiratori HCTM mempunyai kepakaran setaraf dunia untuk rawatan tersebut.

Oleh: Prof. Madya Dr. Mohamed Faisal Abdul Hamid

1 2

Search

+